Vis-BUS
AI-based Breast Ultrasound Image Analysis Solution
- MFDS
KOREA
- [Product Name] Breast Cancer Image, Computer Aided Detection/Diagnosis Software, Class III
[Product License No.] No. Heo24-849 [Date of Initial Approval] 03 December 2024
[Validity Period] 03 December 2024 – 02 December 2029 [Issuer] The Ministry of Food and Drug Safety
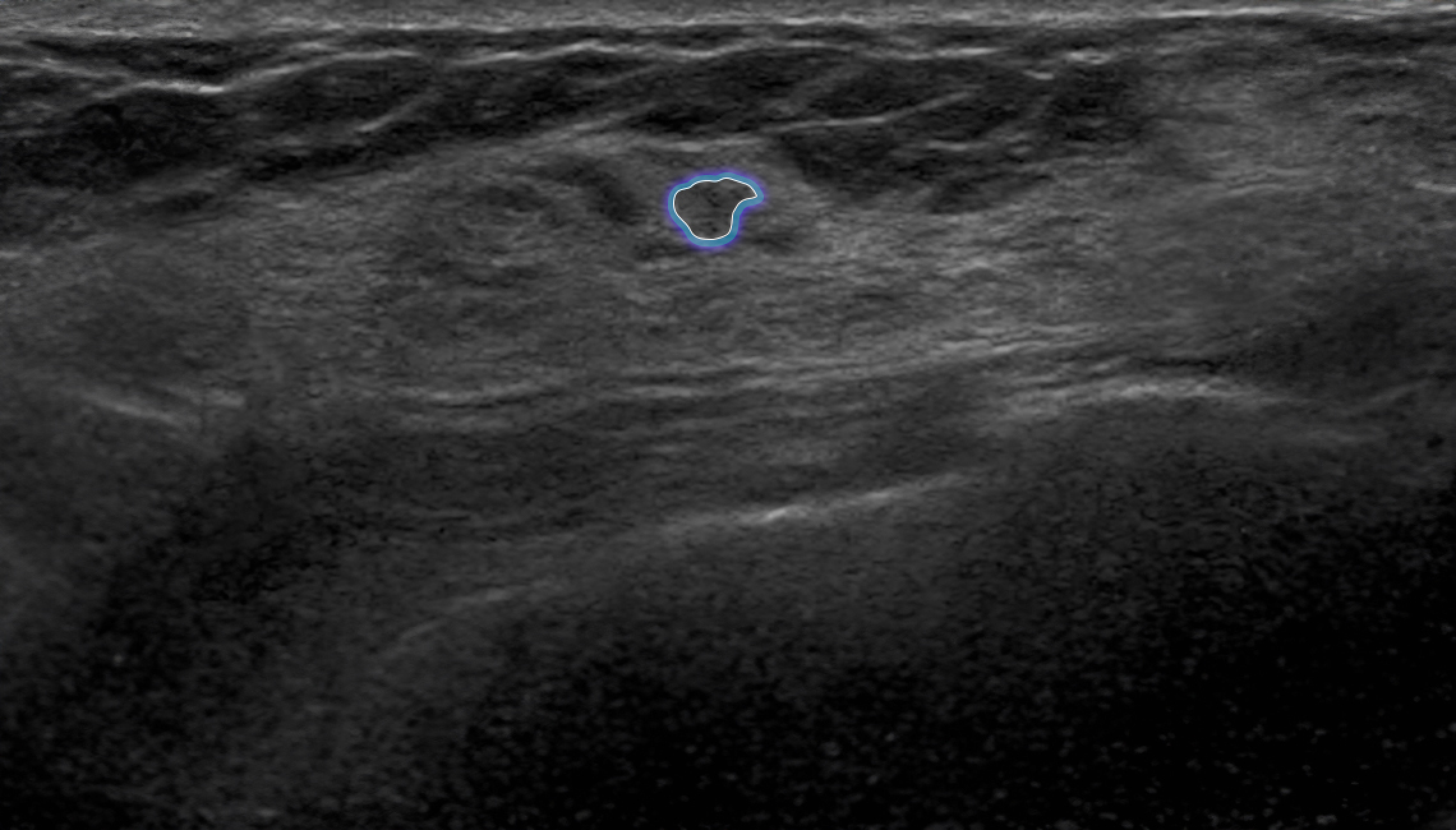
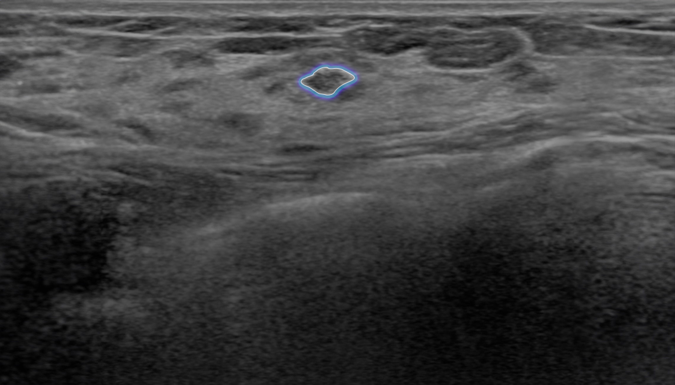
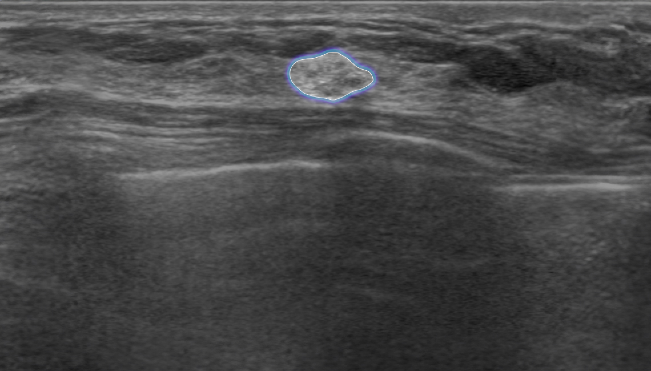
Automatic Detection of Abnormal Lesions
Automatically detects the locations of abnormal lesions in breast ultrasound images in real time.
Follow up mode
Automatically matches lesions from previous breast ultrasound examinations, allowing for easy comparison of changes in the lesions.
Analysis Report Provision
Automatically matches lesions from previous breast ultrasound examinations, facilitating a quick and easy comparison of changes in the lesions at a glance.
Enhancing Diagnostic Accuracy
By analyzing the imaging characteristics of lesions and assisting medical professionals in their readings, it enables more accurate diagnoses and reduces the burden of misdiagnosis.
[Rationale] Enhancing Breast Cancer Detection through Advanced AI-Driven Ultrasound Technology: A Comprehensive Evaluation of Vis-BUS
Enhancing Reading Efficiency
Medical professionals can make quick and accurate readings even in ambiguous or confusing cases through Vis-BUS. Additionally, by utilizing the reduced reading time, they can increase the volume of assessments, leading to greater revenue and growth opportunities for medical institutions.
[Rationale] Enhancing Breast Cancer Detection through Advanced AI-Driven Ultrasound Technology: A Comprehensive Evaluation of Vis-BUS
Integration with Existing Systems
It is possible to enhance the productivity and efficiency of breast cancer diagnosis without changing existing workflows or purchasing additional equipment. There is no need to upgrade ultrasound equipment or PACS, and once the installation is complete, readings can be conducted in the same manner as before.










